Paslaugos
Profesionalios odontologijos paslaugos jūsų šypsenai
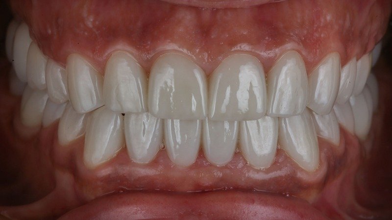
Estetinė odontologija
Mes siūlome platų estetinės odontologijos paslaugų spektrą, įskaitant estetinius plombavimus ir protezavimą. Kiekvienas gydymo metodas yra pritaikytas pagal individualius paciento poreikius, siekiant sukurti natūralią ir gražią šypseną.


Funkcinis protezavimas
Siūlome individualius protezavimo sprendimus, pradedant nuo keraminių laminatų iki vainikų ant implantų. Mūsų ekspertų komanda užtikrina funkcionalumą ir estetiką, leidžiančią pacientams grįžti į visaverčio gyvenimo ritmą.
Sąkandžio atkūrimas
Naudojame tiek tiesioginius, tiek netiesioginius metodus, kad atkurtume sąkandžio aukštį. Ši paslauga padeda ne tik sustiprinti estetinę išvaizdą, bet ir pagerina pacientų funkciją, užtikrinant maksimalų komfortą kiekviename kramtymo etape.


Konsultacijos
Siūlome individualias konsultacijas, siekdami suprasti jūsų poreikius ir lūkesčius. Pirmasis žingsnis vos nepasitenkinimo atveju – susitikimas su mūsų specialistais. Gausite išsamią informaciją ir rekomendacijas, kaip pasiekti savo svajonių šypseną.
Neatidėkite savo svajonių šypsenos!
Susisiekite su mumis ir pradėkite savo kelionę į gražesnę šypseną.